|
代表未来10年甚至20年CT发展方向的GE公司超高端CT-宝石能谱CT于近日在我院落户,宝石能谱CT拥有不同于常规CT的独特的新技术,包括能谱曲线、单能量成像、物质密度测定以及有效原子序数测定,同时,宝石能谱CT可以实现高清晰、低射线剂量的扫描,被称为CT领域里的“显微CT、病理CT”。这些新技术已经在诸多医学领域上开创了CT临床应用的新篇章,受到越来越多的医院青睐,从而也服务于更多的患者。
新技术介绍一:能谱曲线鉴别病灶同源性
能谱曲线体现了不同物质对X线的吸收程度,从而体现了物质本身的结构特性。从以下的糖水及盐水的例子可以看出,在常规CT上表现为同样CT值-即无法区分的糖盐水却表现为完全不一样的能谱曲线,从而让我们可以区分它们。
同样,对于常见的胸水的病理类型为渗出液还是漏出液,也可以通过能谱曲线进行鉴别。
除以上应用之外,能谱曲线还应用在鉴别肿瘤原发灶和转移灶的关系。
新技术介绍二:单能量成像
单一能量穿过人体结构得到的人体结构是不一样的。常规CT是混合能量成像,会掩盖很多组织结构的本来信息。这和人民币的防伪标识会在紫光(代表单一能量)照射的情况下才显示出来而在日光(七色光的混合光)下不能显示是同一个道理。
人体内的很多小病灶也同样容易被混合能量成像的常规CT所掩盖,但是在单能量成像下,这些小病灶会突显出来,这样,可以提高癌症早期诊断的能力。
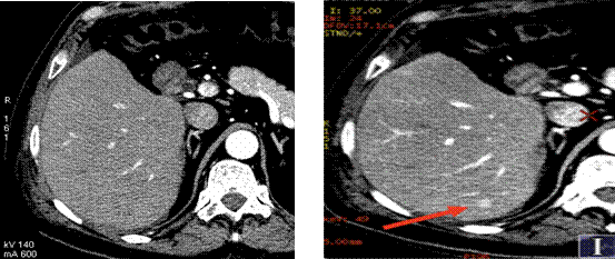
传统CT成像,未显示病灶 40keV单能量下诊断病灶
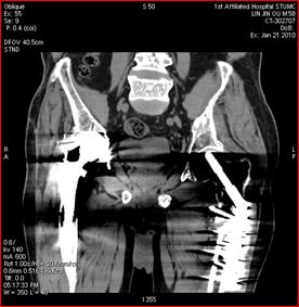
高能量X射线可以去除高密度金属引起的伪影

常规CT 宝石能谱CT
140keV能量成像可以除去金属引起的伪影,更加清晰观察术后情况
新技术介绍三:物质分离与定量
MD尿酸像 MD钙基像 尿酸与骨质分离

痛风由于尿酸结晶体沉积在人体组织所致,而假性痛风是由于磷酸钙盐沉积所致。如果在关节内不进行穿刺活检无法评估尿酸结晶存在。宝石能谱CT物质分离像可以提示痛风或者假性痛风存在,并加以鉴别。
|
ROI 1(低灌注区): 碘的物质浓度1.40mg/ml
ROI 2(同侧肺对照区)碘的物质浓度3.07mg/ml
ROI 3(对侧肺同区域)碘物质浓度 3.84mg/ml
|
宝石能谱CT开创了CT定量分析的新时代。
新技术介绍四:高心率冠脉成像、高清成像
此例为心率83~88bpm,冠状动脉成像优异
宝石能谱CT突破了以往64排CT冠脉扫描时对心率的苛刻要求,增加了患者的接受度,简化了冠脉CTA成像流程。
高清模式清晰显示支架术后再发斑块形成
高清模式突破了传统CT对支架内斑块观察的难点,能够提供冠脉支架内腔的高清图像。
宝石能谱CT正是由于拥有以上这些先进的成像技术,越来越受到各大医院的认可,并已经应用于临床实践。
|