|
杨伟忠主任(中)带领的泌尿外科专家团队
近期,一位长期脐部溢尿的七旬老人在惠州市第三人民医院泌尿外科成功接受了脐尿管肿瘤的根治性切除术!术后病理:脐尿管中分化鳞状细胞癌,癌组织侵润脐尿管壁全层,脐尿管切缘膀胱切缘、周围脂肪组织均未见癌。提示已彻底切除干净。术后恢复良好,已经治愈出院。
该手术的成功再次说明惠州市第三人民医院泌尿外科已经具备处理疑难罕见复杂性手术的能力,为惠州尤其是基层医院的下尿路肿瘤患者带来了福音!
脐尿管异常与脐尿管癌
我们都知道,胎儿是借助脐带与母体相连,接受胎盘提供的氧气和养分,送走代谢产物的。但大家可能不知,在胚胎发育的早期,膀胱顶部是开放并与脐部相连固定的,随着胚胎的逐渐长大,膀胱沿腹前壁下降,在此下降过程中会遗留一条细管即脐尿管与脐部相连,在尿道形成之前便已退化闭合成一纤维索。如出生后脐尿管仍未自行纤维化闭塞便会形成脐尿管异常。

脐尿管癌更是罕见,仅占膀胱癌的 0.35%~0.7%,以至于有些理论知识不够系统全面、缺乏脐尿管病变概念的老医生都会误以为是一般的脐炎或者是普外科的问题而延误病人的治疗。
脐尿管异常是一类先天性畸形,病因不明,多见于男性,发病率极低约只有1/30万。临床表现为脐部分泌物或尿液流出,易合并感染,可出现膀胱刺激征。按病情由轻到重如下图所示可分5种类型,如长期未处理均可发生癌变,一经发现就应尽早手术切除。
疾病早期未重视,寻医三院病症除
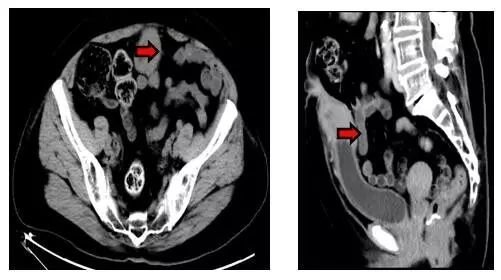
本例患者不是男性而是71岁女性,因“脐部溢液并下腹部红肿硬块”前来就诊,之前也曾到过医院但并未引起足够的重视。家属找到杨伟忠主任医师后,经仔细询问病史并检查病人,杨主任马上诊断是脐尿管的慢性病变,并且高度怀疑肿瘤的可能性。立即给予下腹CT检查报告为:“下腹部正中线区域脐-膀胱顶部之间软组织肿块影,性质待定:脐尿管肿瘤?炎症性病变?(见下图)”。

入院后我们对患者进行全面的身体状况评估、认真研究影像学资料确定病灶的范围以及与邻近脏器的关系、排查膀胱内病变后,顺利施行了标准的根治性切除手术。
脐尿管癌需要将脐部、脐尿管及周围淋巴脂肪组织、粘连的腹膜和部分膀胱壁整块性切除,有些病人还应切除部分腹直肌,手术过程较复杂、层次范围较难把握且易误伤肠管、风险较大,是对术者勇气和手术技巧的综合考验,这需要大量的手术积淀和良好的控制风险能力。所幸我们没有辜负患者对我们的信任。
病人康复出院是我们最大的欣慰,我们会一如既往不断提高自身技术水准,为基层医院排忧解难,为广大市民提供更优质的服务!(泌尿外科
成龙)
|