惠心仁术 济民安康!欢迎访问惠州市第三人民医院官网!

预约挂号、导医导诊、健康咨询、疑问解答:0752-2166120



微信订阅号

微信服务号

首 页

人才招聘

信息发布
医院动态
公示公告
院务公开
君之健公司专栏
 医院动态 当前位置:首页 > 信息发布 > 医院动态 > 内容
适合的治疗才是最佳治疗——骨科中心多学科联合诊疗成功治愈患者,患者送来“惠心仁术”锦旗!

发布时间:2017-4-1  点击:3228次

 

2017年327日骨科中心收到患者认可的“惠心仁术”的锦旗。

刘女士2月前无明显诱因出现颈部疼痛及左上肢疼痛,呈刺痛感,行走有踩棉花感,夜间入睡时加重,咳嗽、头后仰亦可诱发症状加重,曾在当地医院行保守治疗疗效不佳。

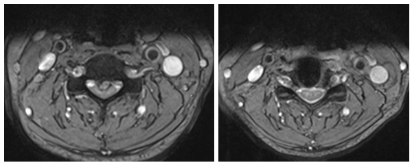
刘女士家属知道惠州市第三人民医院有个专治颈肩腰腿疼痛的科室,即来颈肩腰腿痛门诊就诊,入院后MRI示:颈3/4椎间盘变性并向后下脱出,颈3/4-6/7水平椎管狭窄及双侧神经根受压,以颈3/4水平狭窄为著。


术前MRI 和术后MRI 

术前MRI 和术后MRI 



惠州市第三人民医院骨科医学中心主任武明鑫博士、颈肩腰腿痛科许球祥主任、孙进主治医师,详细询问刘女士病史、细致体格检查、仔细阅读辅助检查,经认真分析讨论,诊断为“脊髓型颈椎病”,认为刘女士病情目前并不适合继续保守治疗,建议行骨科中心阶梯疗法中的开放手治疗方案。


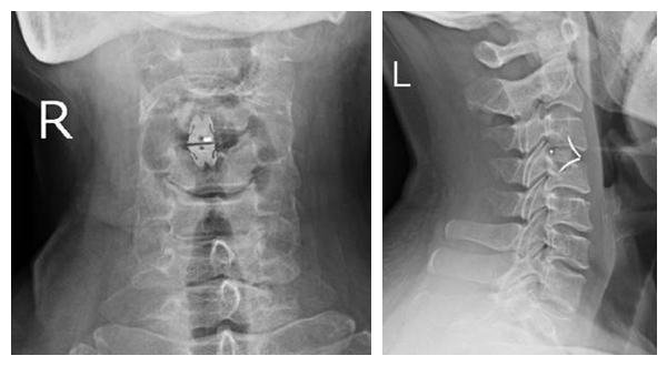
术后DR


刘女士及家属商量后决定行手术予转脊椎关节科。在脊椎关节科行颈椎前路颈3/4椎间盘摘除、椎管减压、椎间植骨融合内固定术。术后予预防感染、脱水消肿、营养神经、抗炎等对症支持治疗。现患者术后3周颈部及左上肢疼痛症状完全消失,双上肢无不适,可安静入睡,四肢肌力、肌张力正常。

  惠州市第三人民医院骨科中心一直坚持多学科合作,落实阶梯治疗宗旨,以患者为中心,为患者找到最佳治疗方案,这是中心对所有患者的承诺,也是我们一直以来的努力方向,我们将继续竭诚为广大患者服务!

【相关连接】

惠州市第三人民医院骨科医学中心多学科诊疗模式:脊柱关节科和疼痛科早上在11楼实行医护一起PPT交班,了解各科新收患者情况和原有患者病情变化情况。手术病人提前一天阅片点评诊断、手术方案、防范措施。住院3天仍诊断不明或者疗效不佳时,周一周四早上重点两科大讨论,明确诊断或决定最佳治疗方案,避免过度手术或无意义保守治疗,从而实现真正从患者角度出发,找到最适合患者的治疗方案。(颈肩腰腿痛科 邹国钫)

·上一篇:我院举行人感染H7N9禽流感诊疗方.. ·下一篇:我院神经医学中心成功举办神经系..
关闭本页】【返回页顶



粤ICP备12058833号 惠州市第三人民医院     版权所有

总院区地址:惠州市惠城区桥东学背街1号

东院区地址:惠州市惠城区惠州大道东平段176号(惠州市交警支队旁)

横沥分院地址:惠州市惠城区120省道横沥段333号

邮编:516002

预约挂号、导医导诊、健康咨询、疑问解答:0752-2166120

双向转诊电话:0752-2359252 / 2359570

院办电话:0752-2359888     宣传科电话:0752-2359810

传真:0752-2255119

医院邮箱/院长邮箱:hzsrmyy@163.com