惠心仁术 济民安康!欢迎访问惠州市第三人民医院官网!

预约挂号、导医导诊、健康咨询、疑问解答:0752-2166120



微信订阅号

微信服务号

首 页

人才招聘

患者服务
就医指南
医保须知
健康科普
 健康科普 当前位置:首页 > 患者服务 > 健康科普 > 内容
肥胖,原是瘤子作祟

发布时间:2015-1-28  点击:2209次

日常生活中,我们常常会将肥胖和“三高”(即高血压、高血糖和高血脂 )联系起来,主要与遗传、饮食习惯、生活方式有关,却很少将它跟脑子扯上关系。

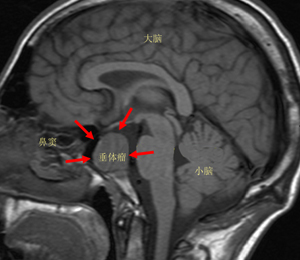
刘阿姨是个饭店老板娘,身高一米六五,体重足有两百斤,稍一干活便汗如雨下,心慌气短,还经常头痛难安,视力也明显下降。她爱吃,却也十分爱美,近年来,她刻意节食,还不惜花重金尝试了各种减肥产品,非但没有瘦下来,还愈发头痛失眠,吃了止痛药也毫无见效。无奈之下,她才到医院检查,结果皆不在“三高”之列,内分泌倒是有些异常,做了MRI检查,居然确诊是垂体瘤。

垂体瘤究竟是什么东西呢?

位于我们人体大脑的丘脑下部,有一卵圆形小体,医学上称之为垂体。垂体瘤是一组从垂体前叶和后叶及颅咽管上皮残余细胞发生的肿瘤,是良性腺瘤。其主要表现为头痛、视力障碍、内分泌障碍,三者统称垂体瘤三联症。

垂体仅占大脑体积的1/1000,看似微不足道,却是人体神经内分泌的最高指挥中心,分泌5种主要神经递质和激素,使全身内分泌系统的激素保持在一个平衡状态。一旦垂体分泌神经递质的机能发生紊乱,整个内分泌系统就会崩溃,过度分泌便形成了垂体瘤。

手术过后,刘阿姨的体重明显减轻,身材苗条了许多,视力也恢复了正常。旁人都以为她用了什么减肥神器,却不知她只是拿掉了脑子里的一个“炸弹”。专家指出,女性爱美无可厚非,但如发现不明原因的肥胖,并伴随不适症状时,切记不要盲目服药减肥,应到正规医院查明原因,对症处理,以免贻误病情。(神经外科 许燕如)

·上一篇:角膜塑形镜在近视患者的应用 ·下一篇:姚贝娜引发乳腺癌恐慌,乳腺癌患..
关闭本页】【返回页顶



粤ICP备12058833号 惠州市第三人民医院     版权所有

总院区地址:惠州市惠城区桥东学背街1号

东院区地址:惠州市惠城区惠州大道东平段176号(惠州市交警支队旁)

横沥分院地址:惠州市惠城区120省道横沥段333号

邮编:516002

预约挂号、导医导诊、健康咨询、疑问解答:0752-2166120

双向转诊电话:0752-2359252 / 2359570

院办电话:0752-2359888     宣传科电话:0752-2359810

传真:0752-2255119

医院邮箱/院长邮箱:hzsrmyy@163.com