|
一位27岁的小伙子,走路时不慎被大货车撞伤,病情危重,由惠东某医院转入惠州市第三人民医院(以下简称惠州三院)进行紧急救治。入院时,患者血压70/50mmhg,心率130次/分,血红蛋白浓度32g/L,呈现血压低,心率快,重度贫血表现,如不及时救治,随时都有生命危险!
由于暴力的猛烈撞击,患者全身多处遭受创伤,诊断为:
1.创伤性失血性休克(失代偿期)
2.骨盆多发骨折(Tile分型C2):左侧骶骨骨折、右侧髂骨翼、耻骨上下支骨折;
3.左侧锁骨远端骨折;
4.左肩胛骨骨折;
5.左桡骨远端粉碎性骨折;
6.右尺桡骨开放性粉碎性骨折;
7.颅脑损伤;
8.胸部外伤。
当前,救治的当务之急是控制出血,而造成出血的主要原因是骨盆多发骨折。据文献报道,严重骨盆骨折休克发生率高达30%以上,甚至达60%,死亡率高达25%-39%。
入院后,给予了患者紧急处理,待病情稳定再实施手术治疗。
1.扩容、补充血容量纠正休克同时积极备血;
2.留置尿管,观察是否出现血性尿液;
3.骨科处理,床单捆扎固定骨盆,双下肢轻度屈曲、内旋捆绑固定,控制骨盆容积。右前臂伤口清创缝合,双上肢石膏制动;
4.送ICU监护治疗。
在ICU治疗1周后,患者的病情暂且稳定。考虑到骨盆骨折的黄金手术时机为伤后2周内,遂转入创伤骨科进一步处理。转入后,创伤骨科黄东永主任积极组织科内讨论,决定分期进行手术,先处理骨盆骨折,再处理四肢骨折。
骨盆多发骨折考虑骨盆前、后环均为不稳定,既有前后暴力损伤,也有垂直暴力损伤,手术指证明确。医生经综合考虑,决定以控制再次损伤为主,采用左侧骶髂关节行闭合空心螺钉固定,右侧髂骨翼及耻骨上支骨折行腹直肌外侧入路行骨折固定,以一个小切口解决大半骨盆环的复位固定。
然而,骨盆骨折手术因出血多、手术显露困难、骨折复位困难、对术者的技术要求高等特点,一直被视为创伤骨科的高难度手术。手术医生必须充分了解骨盆后方的解剖及变异情况,熟悉骨盆骨折移位的三维图像,根据X线平片和CT片确定骶椎解剖是否正常,并具备完成骨折闭合复位和切开复位的能力。
这项手术具体的难点体现在以下方面:
闭合骶髂螺钉固定:骶髂螺钉的位置非常关键,也是手术的重点和难点。术中必须反复行骨盆前后位、出口位、入口位平片透视,确定螺钉置入点,必须沿着S1椎弓根侧块进入,保持其路径完全在骨头内。因S1前缘有盆腔脏器、髂内血管,后缘有马尾神经,因此螺钉必须保证准确无误地在S1椎体骨内。
腹直肌外侧入路:腹直肌外侧入路结构复杂,较其他传统入路操作难度大,但其具有切口小、创伤小、显露充分、术中出血少等特点,且能在小切口下显露骨盆3个窗口同时处理2/3骨盆环,从而达到“小切口大手术”的效果!
手术如期进行,在黄东永医学团队的共同努力下,骨盆骨折骶髂螺钉内固定及腹直肌外侧入路处理复杂骨盆骨折手术顺利完成,标志着惠州三院骨科医学中心对复杂骨盆骨折微创手术又迈进了一大步。

手术中
术后,患者生命体征平稳,无副损伤出现。一期骨盆骨折手术后1周,患者再次进行了二期四肢骨折重建手术,术后病情稳定,获得了良好的治疗效果,目前正在积极的康复当中。

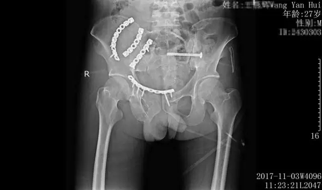
术后影像检查,骨盆骨折端完全吻合
骨盆骨折多为强大的外力所致,包括机动车碰撞,高处坠落伤,挤压伤等。由于骨结构坚固以及盆内含有脏器、血管与神经等重要结构,因此骨盆骨折的病死率较高。
人群中的骨盆骨折发生率大约为20/10万~37/10万,约占所有骨折的0.3%~6%。未合并软组织或内脏器官损伤的骨盆骨折的病死率为10.8%,复杂的骨盆创伤病死率为31.1%。由车祸引起骨盆骨折往往附带腹膜后血肿、尿道或膀胱损伤、直肠损伤、神经损伤或失血性休克死亡。近年来,在黄东永主任的带领下,惠州三院创伤骨科医疗团队勇于创新、积极探索,在治疗各类型的骨盆骨折上取得了不错的临床效果!
|