|
颅内动脉瘤是一种隐匿性疾病,起病突然,一旦破裂出血,致死致残率极高,因而被称为颅内的“不定时炸弹”,是最危险的脑血管病之一。

微侵袭神经外科技术是神经外科医生梦寐以求的境界,是现代神经外科史上第二次飞跃,是21世纪神经外科的发展方向。
当两者相遇会发生怎样的医学神奇?
近日,惠州市第三人民医院神经外科李雪松医疗团队实施微侵袭技术,成功完成经眉弓锁孔入路前交通动脉瘤夹闭术,为患者拆卸了这颗“不定时炸弹”,让患者转危为安。
今年52岁的赖先生在外院检查发现颅内动脉瘤1周,为求进一步治疗前来惠州三院,头颅CTA检查提示:前交通动脉瘤。患者既往有糖尿病3年和高血压1年病史,未进行正规治疗和监测。
患者术前头部CTA
经过详细地病情评估及术前讨论,李雪松医疗团队决定采用眉弓锁孔入路这项技术,为患者施行手术。
据悉,按照以往的手术方式,赖先生需要在额颞部开一个长达15-20厘米左右的切口。手术创伤和风险大,且住院时间长,花费高。如今,惠州三院神经外科开展了眉弓锁孔入路这项技术,只需在眉弓上缘开一长约5厘米左右的切口就能完全夹闭动脉瘤。既完整切除了病灶,又避免了普通开颅手术对患者外观与容貌的影响。

术中切口及骨瓣
锁孔手术能有效缩小开颅范围是微创神经外科标志!
它根据每个患者的具体情况,准确设计开颅部位和范围,充分利用脑组织的自然间隙,以最短的手术路径精确到达病变,将手术创伤降至最低。然而,这项技术对术者的要求很高,必须具备扎实的神经解剖生理基础和精湛的显微手术基本功。
经过充分的术前准备,李雪松医疗团队仅用了两个多小时就顺利完成手术。术后当天,患者就睁开了双眼,肢体、语言功能等方面都正常,家属脸上露出了满意的笑容。目前,患者正在积极的康复中,不久就能出院。
患者术后头部CTA
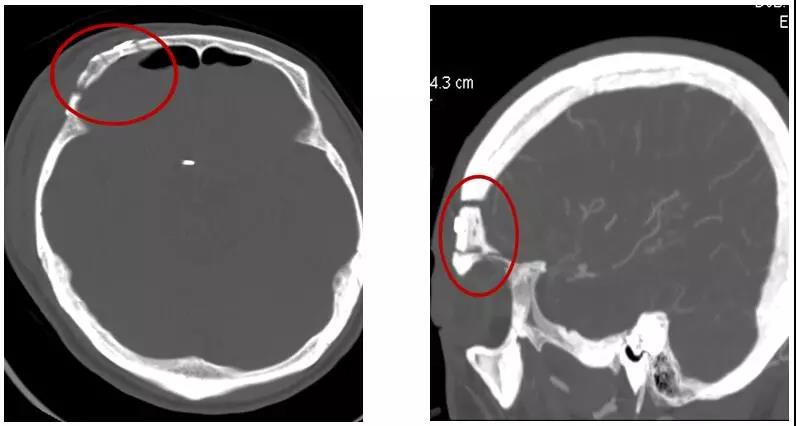
术后头部CT骨窗
该团队在神经外科微创理念方面已经形成自己的一整套完备的体系,例如充分的术前评估与准备,确保病人安全;术中的精准定位(使用术中神经导航、术中彩超等);完整的神经外科显微外科训练,要求术中精细、精准操作,确保患者万无一失;术后管理方面如常规重症监护,密切观察患者病情变化,早期康复介入等,在促进疾病恢复及并发症预防方面起到积极的推动作用。
李雪松主任介绍:
锁孔技术是微侵袭神经外科的重要手段之一。它的优点就是手术时间短、创伤小、费用低、住院时间短,且手术风险小,减少了与手术入路相关的并发症,其手术方式在国内处于领先水平!
这项技术的运用标志着我院神经外科在微创显微外科技术上迈上新的台阶,对于满足患者多样化需求具有重要的临床意义!
如今,翼点锁孔与经眉弓锁孔已成为我院自去年开展首例以来的常规手术,我们已将此新理念作为神经外科常规,应用于颅内动脉瘤、鞍区病变、颅内肿瘤等治疗。
|