|
近期,由惠州市第三人民医院医学影像中心举办了2018年市级继续医学教育项目“CT能谱技术进展研讨会”。

本次研讨会吸引了来自全市各地区医院的放射医学界同仁们的参与,学术报告厅座无虚席,学习气氛浓厚,大家都展现了极大的学习热情。
中山大学第一附属医院杨建勇教授授课

中山大学孙逸仙纪念医院许林峰教授授课
惠州三院医学影像中心崔冰主任授课
惠州三院宾俊杰主治医师授课
惠州三院李德永主管技师授课
本次研讨会讲学的影像诊断及技术的专业知识,从临床的疑难病例方面进行新知识新进展讲授。学习班浓厚的氛围,丰富多彩的内容,受到与会代表和专家的一致肯定,加强了相关学科间的学术交流。惠州三院医学影像中心技术正在逐渐发展并趋于成熟,未来我们将再接再厉,更好地服务于病人,实力解决临床所面临的尴尬难点。
惠州三院医学影像中心
惠州市第三人民医院医学影像科中心是惠州市唯一的医学影像专业硕士研究生培养基地,现有中高级职称27人。拥有美国GE Discovery CT750 HD宝石能谱CT机(2台),西门子1.5T核磁共振设备(2台)。能开展冠状动脉CTA、头颈部CTA,双下肢CTA+CTV,关节能谱扫描测量痛风。MRI胎儿检查、臂丛、腰骶从MRI等新技术及常规扫描技术。
近期,惠州三院医学影像科中心推出两项新技术,分别是:胎儿(颅脑)磁共振扫描技术和臂丛神经、马尾神经及坐骨神经磁共振成像技术。
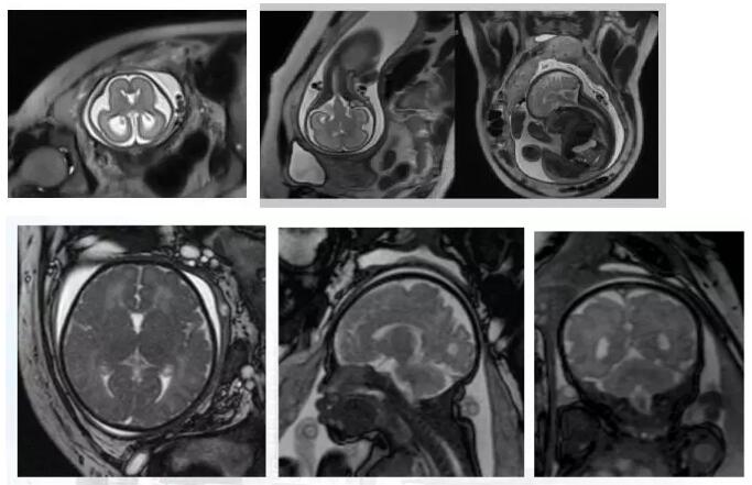
胎儿(颅脑)磁共振扫描技术
为了宝宝未来的健康成长,产前检查尤为重要。超声作为其中最重要的检查,有其绝对优势,但是仍然存在不足。为此,惠州三院影像科潜心研究,积极引进了胎儿的磁共振检查,给宝宝带来另一重保障。
磁共振可解决羊水太少超声不好显示的问题
磁共振检查不受胎儿骨骼及羊水量的影响,对胎儿中枢神经系统、羊水过少、双胎、孕周较大时显示很好,特别是孕晚期胎头入盆或胎儿颅骨骨化时。
磁共振图像可以在各个方位看到宝宝的颅脑,还能看到宝宝撅起的小嘴。
磁共振图像可以在各个方位看到宝宝的颅脑
对于磁共振检查对宝宝的安全问题,大家可以放心。
美国放射学会(ACR)和儿科放射学会(SPR)在2010年发布了胎儿磁共振的白皮书(ACR-SPR )指出,目前没有任何资料表明在1.5T磁共振设备中进行胎儿检查会影响胎儿正常发育。并且检查过程不会使用镇静剂和对比剂,也不会让孕妇屏气,让孕妈妈舒服地完成检查。
那么什么情况下需要做胎儿的磁共振检查呢?
1. 当宝宝的超声检查有固有局限性或者显示不满意
2. 超声检查诊断胎儿异常或者可疑胎儿异常时,证实超声诊断或者可疑异常,以及是否能够提供额外信息。
3. 有家族史遗传性疾病或孕妇有疾病时,需要做检查的孕妈妈最好选择在怀孕四个月以后,这样胎儿的图像更容易理解。
孕妈妈还需要注意的是,孕妇磁共振检查尽量会安排在上午检查(空腹4小时),这样胎儿运动幅度会比较小,检查得到的图像也更好看。还有就是检查前排尿,留少量尿。
臂丛神经、马尾神经及坐骨神经磁共振成像技术:
交通事故、工地受伤事件每天都在上演,臂丛神经受损病例也很常见。
受伤后患者上肢功能部分或完全丧失,遗留终生残疾。
臂丛神经分支主要分布于上肢,有些小分支分布到胸上肢肌、背部浅层肌和颈深肌,臂丛神经主要支配上肢和肩背、胸部的感觉和运动。
左图为改进前的图像,右图为新技术的图像
由我院医学影像中心经过多次讨论出来的新方案做出来的新图像,相比之前的技术,新方案的图像几乎没有受到的背景信号干扰。
磁共振成像新技术做出来的图像可清晰地显示臂丛神经全貌及周围组织结构关系,能显示神经根的撕裂,还能同时显示合并存在的脊膜膨出、脑脊液外漏、脊髓出血、水肿等。
而且 磁共振水成像技术对显示蛛网膜下隙及脑脊液的外漏更为清楚。在臂丛神经病变的诊断中起有不可磨灭的作用。
根据检查所作图像重建的三维图像,我们可以从各个方位观察臂丛神经
同样由于高处坠落、高速路交通事故、塌方等导致骨盆骨折,后患断裂移位所致,妊娠后期、分娩时受到头或产钳压迫,在骶前区受髂总动脉等变异的卡压,肿瘤切除、骨盆手术中的医源性损伤导致的腰骶丛神经损伤也可以通过同样的方法检查。
用同样方法做出来的腰骶丛神经磁共振图像,结构清晰,病变明显
臂丛神经病变的临床诊断一直以来依赖于临床症状,体征及生物电学检查,但是不够直观、准确。
这次影像科讨论出来的新方案,使得我院磁共振神经成像成功跃升到高分辨率成像的领域,更直观、准确地提供了病变的影像证据,也为临床上神经受损病人的诊治带来更多的帮助。(医学影像科 林鑫)
|