惠心仁术 济民安康!欢迎访问惠州市第三人民医院官网!

预约挂号、导医导诊、健康咨询、疑问解答:0752-2166120



微信订阅号

微信服务号

首 页

人才招聘

信息发布
医院动态
公示公告
院务公开
君之健公司专栏
 医院动态 当前位置:首页 > 信息发布 > 医院动态 > 内容
我院脊柱外科在颈椎病微创手术治疗上取得重大突破

发布时间:2016-3-14  点击:4666次

颈椎病发病率高、是脊柱最常见的原因之一,多数患者保守治疗可以缓解病情得以控制;部分病人由于突出髓核压迫脊髓或神经根,表现为颈肩痛、肢体麻木无力、精细动作差、下肢无力笨重、容易摔倒,如得不到有效的手术治疗,严重的可致残。

传统的颈椎病手术手术治疗上主要存在以下弊端:颈部僵硬,功能障碍,反屈或鹅颈畸形;术后再关门致症状复发或再发,创伤大,长远期效果容易出现钛网下沉可能,前路钢板使大部分应力集中在前柱,应力不均匀加速邻近阶段的椎间盘退变,术后恢复慢,不能早日下床活动等题。

借鉴国内外先进技术,谭志宏主任医师善于临床总结,在惠州地区率先开展,颈前路小切口突出椎间盘切除、前路颈椎桥形锁定植骨融合(ROI-C假体)治疗颈椎病,此术式有适于经间隙减压(ACDF)、可靠植骨融合、适合跳跃式椎间盘突出,减少应力集中在前柱,手术时间短,出血少、减轻术后吞咽困难及异物感等并发症,术后三天下地活动,效果更为确切。此项手术的成功开展填补了惠州地区空白,同时也是国内手术治疗腰椎间盘突出症先进技术,标志着我院脊柱外科技术又迈上更高的台阶。(骨科二区李贤坤)

典型病例汇报1:中年男性41岁,因“行走不便2年,加重伴双手麻木2周”之主诉入院,症状主要为:颈部疼痛、僵硬,双下肢无力、行走不稳,双手麻木,协调性差,右手握笔困难。入院查体:步态不稳,C3-C7压痛、叩击痛,肢痛温觉减退,双上肢肢肌力5-级,双下肢肌力4-级,肌张力增高,双下肢腱反射亢进,病理征(+),行颈前路小切口突出椎间盘切除、前路颈椎桥形锁定植骨融合(ROI-C假体),无需前路钢板,术后四肢麻木明显缓解,右上肢精细动作明确增强,可写字,行走不稳消失,肌力基本正常,颈部活动度无明显受限。(1、图2)

 

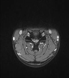
图1 术前颈椎MRI提示颈椎退行性变,C4/5椎间盘突出、脊髓出现高信号改变,C4硬膜囊受压变形

 

               图2

图2 术后颈椎X线提示颈椎桥形锁定融合居中,椎间隙高度恢复正常,融合良好

·上一篇:急诊科、心内科与ICU接力创造生命.. ·下一篇:一氧化碳,杀人于无形的凶手
关闭本页】【返回页顶



粤ICP备12058833号 惠州市第三人民医院     版权所有

总院区地址:惠州市惠城区桥东学背街1号

东院区地址:惠州市惠城区惠州大道东平段176号(惠州市交警支队旁)

横沥分院地址:惠州市惠城区120省道横沥段333号

邮编:516002

预约挂号、导医导诊、健康咨询、疑问解答:0752-2166120

双向转诊电话:0752-2359252 / 2359570

院办电话:0752-2359888     宣传科电话:0752-2359810

传真:0752-2255119

医院邮箱/院长邮箱:hzsrmyy@163.com