惠心仁术 济民安康!欢迎访问惠州市第三人民医院官网!

预约挂号、导医导诊、健康咨询、疑问解答:0752-2166120



微信订阅号

微信服务号

首 页

人才招聘

信息发布
医院动态
公示公告
院务公开
君之健公司专栏
 医院动态 当前位置:首页 > 信息发布 > 医院动态 > 内容
我院首例术中B超引导脑肿瘤切除术喜获成功

发布时间:2013-10-6  点击:3536次
 

2013911,我院神经外科成功开展了第一例术中B超引导下脑肿瘤切除术,同时也开创了我市首例术中B超在神经外科的应用。

这是一名60岁的女性患者,诊断“脑胶质瘤”,今年6月在广州某大医院行肿瘤切除术。当时肿瘤有鸡蛋大小,位置深且边界不清,手术难度大。术中使用了“神经导航”,但是只切除了肿瘤的五分之一,尚有大部分残留。在之后不到2个月的时间,肿瘤迅速增大,并且超过了术前,至成人拳头大小。

患者这次入住我院神经外科,要求再次手术。而手术难度明显增大,我院又没有“神经导航”。在暨南大学第一附属医院王向宇教授的指导下,决定利用我院现有条件,即床边B超机,在我院开创一次“B超导航”引导下的脑肿瘤显微手术。目的是在B超引导帮助下,更精确、更完全地切除肿瘤,以“B超导航”媲美广州大医院的“神经导航”。

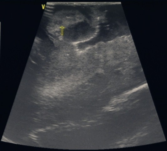
当天,在B超室的大力支持和配合下,手术顺利地进行。术中应用我院平常的床边B超机,选择一个与术区相当的B超探头,裹上无菌膜即可使用。在切除肿瘤过程中,用B超探头贴近术区探测肿瘤的范围及位置,在B超引导下一步步切除肿瘤。当手术行将结束时,再次应用B超探测,清楚地发现肿瘤残留,并进一步切除干净。结果,本例手术切除了95%以上的肿瘤组织,取得了圆满的成功。

“术中B超,就是手术医生的第3只眼!”神经外科余永强主任感慨地说。靠这“第3只眼”引导肿瘤的切除,不仅保证了手术的安全性,而且极大地提高了肿瘤的切除率。

术中B超在神经外科的应用范围主要有:肿瘤的切除、动脉瘤的夹闭、动静脉畸形的切除、以及外伤性颅内血肿的清除等。因为受多科协作及B超机器设备的影响,目前开展此项目主要集中于部分省级大医院,且推广范围不广。而我院现有的床边B超机完全可以适用颅脑手术的要求,在不增加医院设备投入的基础上,开创了我院又一项新技术的应用。

这一例手术的成功,打开了我院术中B超在颅脑手术中应用的大门。神经外科以“务实、进取、创新”的精神,朝着“更精湛、更安全、更有效”的目标前进。(神经外科 龙青山 余永强)

 1. 脑肿瘤术中B超应用

2.术中B超探测肿瘤

3.完全切除肿瘤

 

·上一篇:惠州市第三人民医院患者转院(转.. ·下一篇:超声引导下置入PICC管
关闭本页】【返回页顶



粤ICP备12058833号 惠州市第三人民医院     版权所有

总院区地址:惠州市惠城区桥东学背街1号

东院区地址:惠州市惠城区惠州大道东平段176号(惠州市交警支队旁)

横沥分院地址:惠州市惠城区120省道横沥段333号

邮编:516002

预约挂号、导医导诊、健康咨询、疑问解答:0752-2166120

双向转诊电话:0752-2359252 / 2359570

院办电话:0752-2359888     宣传科电话:0752-2359810

传真:0752-2255119

医院邮箱/院长邮箱:hzsrmyy@163.com