惠心仁术 济民安康!欢迎访问惠州市第三人民医院官网!

预约挂号、导医导诊、健康咨询、疑问解答:0752-2166120



微信订阅号

微信服务号

首 页

人才招聘

患者服务
就医指南
医保须知
健康科普
 健康科普 当前位置:首页 > 患者服务 > 健康科普 > 内容
脑积水概述

发布时间:2014-4-3  点击:3015次
 

了解脑积水前先让我们清楚下脑的内容物及脑脊液。脑的内容物包含:脑组织、脑血流量及脑脊液。这三种内容物的总体积固定不变,被包含于颅腔内,脑脊液约占10%左右的容积。脑脊液是存在于脑室和蛛网膜下腔内的一种无色透明的液体,总量约130-150ml,比重为1.005,人体每天分泌脑脊液约500ml(21ml/h),并每天要循环更换3-4次(经过分泌、循环及吸收三个过程)。

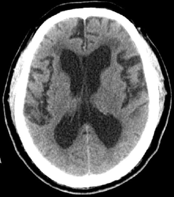
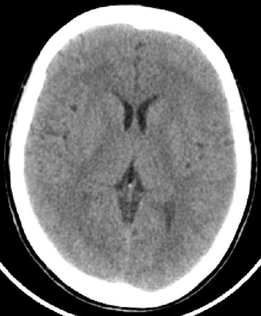
因为脑脊液的分泌、或循环、或吸收过程中出现障碍,则会产生脑积水。脑积水致脑脊液的容积增大,导致脑血流量及脑组织受压并容积减少。临床分类多样:婴幼儿脑积水和成人脑积水;高压性脑积水和常压性脑积水;脑室内脑积水和脑外脑积水;症状性脑积水和无症状性脑积水;进行性脑积水和静止性脑积水。比较常用的是按病因分类:交通性脑积水和阻塞性脑积水。其中交通性脑积水病因:脑脊液吸收功能障碍、蛛网膜颗粒发育不良、脑脊液成份改变或浓缩及脑脊液分泌过多;阻塞性脑积水病因:中脑水管狭窄或闭塞、Dandy-Walker综合征、小脑扁桃体下疝畸形、炎症或出血、颅内占位性病变等。临床症状:婴幼儿有发育延迟、头颅增大、行走障碍等;成人可有神志及精神变差、记忆力下降、头痛头晕、行走困难或二便失控等。头颅CTMR可以明确诊断及辨别病因。治疗主要以手术治疗为主。绝大多数患者愈合良好。(神经外科 龙青山)

 

     正常头颅CT          头颅CT示脑积水

·上一篇:负压与层流的区别 ·下一篇:多做乳房自查,早发现乳腺病变
关闭本页】【返回页顶



粤ICP备12058833号 惠州市第三人民医院     版权所有

总院区地址:惠州市惠城区桥东学背街1号

东院区地址:惠州市惠城区惠州大道东平段176号(惠州市交警支队旁)

横沥分院地址:惠州市惠城区120省道横沥段333号

邮编:516002

预约挂号、导医导诊、健康咨询、疑问解答:0752-2166120

双向转诊电话:0752-2359252 / 2359570

院办电话:0752-2359888     宣传科电话:0752-2359810

传真:0752-2255119

医院邮箱/院长邮箱:hzsrmyy@163.com