惠心仁术 济民安康!欢迎访问惠州市第三人民医院官网!

预约挂号、导医导诊、健康咨询、疑问解答:0752-2166120



微信订阅号

微信服务号

首 页

人才招聘

患者服务
就医指南
医保须知
健康科普
 健康科普 当前位置:首页 > 患者服务 > 健康科普 > 内容
警惕不一样的病情!莫让思维定势影响生命抢救!

发布时间:2014-9-4  点击:2065次

 

夜晚8时左右,120指令接回一个“昏迷”无家属或朋友陪伴的中年男,查体:昏迷状、血压高、瞳孔不等大小、病理征阳性……种种症状、体征提示有脑血管意外可能。当即请示值班领导,给予开通绿色通道,启动相关抢救及检查(关键颅脑CT平扫)。

同时通过患者自带电话联系上患者妻子,患者妻子叮嘱我们:“我是某某医院(三甲)的,他就是癫痫发作,以前有过很多次了,给他吸吸氧气、打打醒脑针就好了……”

然而刚挂电话不到两分钟,护士就报告:“患者呼吸越来越不好了,血氧饱和度开始明显下降!”当即给予开放气道处理,患者氧饱和度稍稳定。患者的症状与癫痫极不相符,倒是明显提示:急性脑血管意外!再与患者妻子联系,告知病情危重,检查必要性,家属终于同意检查并表示在赶来医院中。

数分钟后,颅脑CT平扫出来了,患者妻子也刚好赶到CT室,见面其妻子就还是强调:“只是癫痫发作,吸吸氧、打打针就好!”

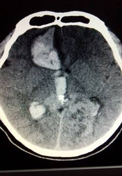
然而当我们把CT片拿给她看,她沉默了……CT显示的是:1.右侧额叶出血破入脑室,出血量约40ml2.蛛网膜下腔积血!

很多时候,不管是医生、患者、家属都有一种惯性思维,患者不舒服了,一定会去想:“可能又是他的什么什么病犯了,按照以前的方式处理就好了!”于是在没有查体、完善相关检查的情况下做出各样耽误病情甚至致命的措施:

心梗冠脉支架植入术后的患者,排黑便、胸闷、头晕等消化道出血症状,来到医院要求住会心血管科或“通血管”输液;

高血压,精神反应差,头晕头痛,突发偏瘫的患者,家属只认为是“感冒了”按感冒治疗,或者是“脑供血不足”直接给打“通血管针”,不会去考虑有没有急性脑出血、脑梗塞等可能;

有胃炎病史的人,胸腹痛,会直接按照“胃炎”治疗,不排除:心梗、消化道穿孔、胰腺炎,甚至主动脉夹层等危急重病症……

人机体是不断变化中的,不能维持一个稳态,疾患就来了。不是每一次的不平衡都一样,不是每一次的发病是同一个病情,不能以固定思维,很自然地去想就是以前的什么什么病再发。起病了,出现症状了,要镇静,观察什么样的表现,与既往有什么不一样,及时送诊,详细查体,必要时进行相关辅助检查。准确的诊断,才能保证后面抢救、治疗的成功率,才能保护好生命!(急诊科 林月雄)

 

·上一篇:如何选择影像检查 ·下一篇:需要空腹做检查、检验吗?
关闭本页】【返回页顶



粤ICP备12058833号 惠州市第三人民医院     版权所有

总院区地址:惠州市惠城区桥东学背街1号

东院区地址:惠州市惠城区惠州大道东平段176号(惠州市交警支队旁)

横沥分院地址:惠州市惠城区120省道横沥段333号

邮编:516002

预约挂号、导医导诊、健康咨询、疑问解答:0752-2166120

双向转诊电话:0752-2359252 / 2359570

院办电话:0752-2359888     宣传科电话:0752-2359810

传真:0752-2255119

医院邮箱/院长邮箱:hzsrmyy@163.com