惠心仁术 济民安康!欢迎访问惠州市第三人民医院官网!

预约挂号、导医导诊、健康咨询、疑问解答:0752-2166120



微信订阅号

微信服务号

首 页

人才招聘

患者服务
就医指南
医保须知
健康科普
 健康科普 当前位置:首页 > 患者服务 > 健康科普 > 内容
月经异常女性需警惕“垂体瘤”

发布时间:2014-3-5  点击:2618次
 

女性的月经由“下丘脑-垂体-卵巢-子宫”神经轴控制其生理性周期的变化,其中任何一环节发生障碍或功能失调均可能引起月经生理周期的变化。例如月经周期紊乱、闭经、泌乳、不育等多方面的临床症状。当你多次就诊后排除了卵巢及子宫的器质及功能性的紊乱后,就可能需要进一步排除下丘脑及垂体的病变。其中“垂体瘤”是一常见的病因。

脑内垂体是人体内分泌激素最多的器官之一,其功能重要并复杂。近年来垂体瘤的发生率有上升趋势,并是第三位的脑内肿瘤(约占10%左右),但它属于良性肿瘤。其临床表现多种多样,主要取决于病理类型(8种类型)。其中的泌乳素细胞腺瘤(垂体腺瘤)最常见于青春期女性,临床表现有闭经、泌乳及不育等症状群,也是很多月经异常女性到处就医最后确诊的疾病之一。其他类型的垂体瘤也可能导致月经异常及不育。诊断垂体瘤必须具体以下三方面:临床症状、激素水平的异常及垂体影像学上的异常。治疗上有手术、药物及放射性治疗的三种方案。大多数垂体瘤的预后良好,特别是对生理性月经的恢复明显有效。

当你惆怅于月经异常病因的探索中时,不妨检查下你脑垂体功能及形状,警惕是否患有“垂体瘤”。垂体瘤是一种良性及预后良好的疾病。(神经外科龙青山)

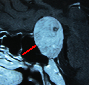
  红箭头示垂体瘤

·上一篇:浅解安宫牛黄丸 ·下一篇:注射胰岛素,坚持还是放弃?
关闭本页】【返回页顶



粤ICP备12058833号 惠州市第三人民医院     版权所有

总院区地址:惠州市惠城区桥东学背街1号

东院区地址:惠州市惠城区惠州大道东平段176号(惠州市交警支队旁)

横沥分院地址:惠州市惠城区120省道横沥段333号

邮编:516002

预约挂号、导医导诊、健康咨询、疑问解答:0752-2166120

双向转诊电话:0752-2359252 / 2359570

院办电话:0752-2359888     宣传科电话:0752-2359810

传真:0752-2255119

医院邮箱/院长邮箱:hzsrmyy@163.com