|
“做胃镜?小孩能做吗?会不会很痛苦?”这是大部分家长听到医生建议给小孩做胃镜检查时的反应。那到底儿童可以做胃镜吗?
随着生活条件的改善,儿童消化道疾病逐年增多,尤其是经常有儿童诉有腹痛,反复出现,做其他检查如X光片,彩超等检查,均未见明显异常。而慢性腹痛或经常性呕吐,如果不及时治疗,腹痛频繁发作或经常性呕吐,会影响儿童的日常学习和生活。
与儿童反复腹痛、呕吐相关的疾病,主要有慢性胃窦胃炎、胃溃疡、十二指肠炎、十二指肠溃疡、食管炎等。是各种原因持续作用于胃黏膜所引起的慢性胃黏膜病变。过去大家一直认为,慢性胃病是成人疾病,与儿童无关,随着检测手段进步,尤其是无痛性胃镜检查在儿童中的开展,腹痛患儿中慢性胃病的检出率明显增高。
患儿做胃镜可以用儿童胃镜。与成人胃镜相比,儿童胃镜纤细柔软,外径只有8毫米或更细,容易吞咽,受检患儿痛苦少。它适用于各年龄小儿,包括婴幼儿。迄今为止,国内已经有多家医院开展了儿童胃镜检查,病例数达数十万例,尚未有因做胃镜后发生并发症的报道。
因此,小儿胃镜检查是一项比较安全的技术,家长不必害怕。
通过胃镜检查,能直接用眼睛发现病灶,观察胃内有无糜烂、溃疡、炎症情况及具体的病变部位。除了能及时发现病灶外,胃镜检查还有助于找出慢性胃病的原因。此外,胃镜下还能进行各种治疗,如果发现息肉可以直接做胃镜下切除;发现胃出血,可以直接在胃镜下止血。因此,对于有反复腹痛并伴有呕吐或消化不良症状的患儿,应该把胃镜作为首选的慢性胃病检查方法,家长对此不必过于担心
一般地说,患儿出现下述情况,医生会安排做胃镜检查:
(1)反复发作性腹痛,尤其是上腹痛、脐周痛;
(2)经常性呕吐,严重者伴吐血,体重减轻;
(3)有明显的上腹饱胀、嗳气、反酸、纳呆和胃灼热;
(4)上消化道出血,表现为原因不明的黑便和呕血;
(5)原因不明的贫血;
(6)不能用心肺疾病解释的胸闷和胸骨后疼痛;⑦上消化道异物、息肉摘除等。
胃镜检查前应该禁食、禁水、禁药6~8小时,哺乳期婴儿检查前应禁奶6小时。胃镜检查前,医生会用1%~2%的利多卡因或丁卡因溶液给患儿做“咽麻”,对婴幼儿或精神紧张的年长儿,医生还可以选择进行无痛胃镜,进行麻醉,以减轻患儿的恐惧心理,使其能够顺利完成胃镜检查。
做完胃镜检查后,患儿应留院观察1~2小时,适当休息。检查后禁食2小时,然后可食柔软易消化的食物,如无异常情况,即可开始正常饮食。若发现患儿腹痛加重或有呕血、便血,则应立即去医院急诊。
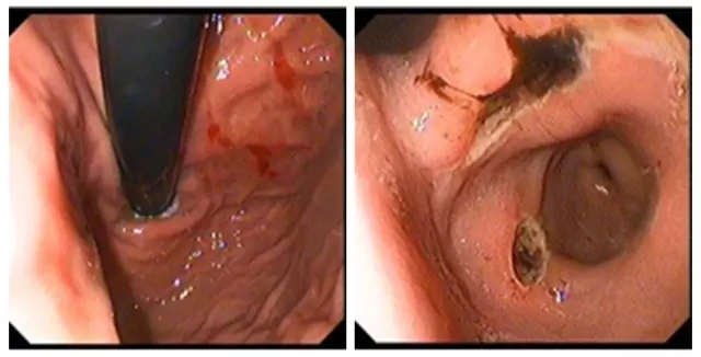
以下是一例儿童胃镜的结果,该患儿反复腹痛,多次治疗无效,查胃镜发现已经出现胃粘膜出血,溃疡,而使用常规检查,难以确诊。(儿科一区 关向阳)

|