|
血压,吸烟
听起来那么稀松平常的两个词
居然跟分分钟可以要人性命的
“动脉瘤”
联系在一起
这不是危言耸听
……
除夕欢庆夜,灾难不请自来
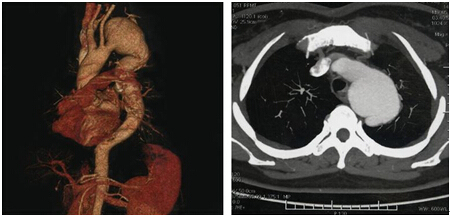
鸡年除夕夜,正是万家团聚过新年的喜庆时刻。从江西赶来惠州和儿子一起过年的曾先生在吃饭时突然感到胸口一阵撕裂样的剧烈疼痛,脸色苍白,大汗淋漓,家人立即呼叫120。救护车一路呼啸而过,直接开往惠州市第三人民医院本部急诊科。到达急诊科后,医院立即启动胸痛中心绿色通道,以最快速度完成主动脉CTA检查,并呼叫心内科医生。心内科廖火城医生一看CT,深深地倒吸了口冷气……

胸主动脉瘤何方妖魔?
胸主动脉瘤是由于各种原因造成的(高血压是主要原因)人体最大的血管主动脉一处或多处向外膨出,出现的像“瘤子一样”的改变。如果“瘤子”不加控制,持续膨胀,就像一个气球吹胀到一定程度就会破裂,主动脉内的血液瞬间涌出,人数分钟内就会死亡,所以我们又把这个病称作“旋风杀手”。大部分胸主动脉瘤是继发于高血压,部分是由于梅毒,或其他先天性疾病,如马凡综合征及外伤等。在早期,大多数胸主动脉可无症状,但生长到一定程度时,就会出现胸痛,不明原因咳嗽,声音嘶哑的症状。

很明显,这是个巨大胸主动脉瘤合并主动脉夹层的患者,动脉瘤随时有破裂风险,意味着患者一只脚已经踏入了鬼门关。情况紧急,患者立即被转入心内科重症监护室,并在最短时间内用药物迅速控制了患者的胸痛症状,血压和心率也趋于稳定,病情暂时稳定。
不幸的是,该患者在胸主动脉瘤基础上,又同时合并主动脉夹层(也是主动脉最为凶险的疾病),病情就更为凶险了,死亡率极高。
大血管团队密切配合,巧拆定时炸弹
该患者虽经积极药物治疗,病情趋于稳定,但单纯的药物保守治疗已不能有效阻断动脉瘤的破裂。既往治疗该病的主要方法是通过切除动脉瘤并用适当大小的人造血管替换。但该手术过程较为复杂,创伤大、花费多,而且危险性也很高。
近年来,经皮血管内支架植入隔绝主动脉瘤及主动脉夹层破口的微创治疗发展迅速,由于其创伤小、风险低、康复快,受到很多大医院的青睐。
主动脉夹层介入治疗
惠州三院心血管医学中心自2014年来就逐渐开展胸腹主动脉瘤及主动脉夹层的支架隔绝术,目前能完全凭借自主力量独立完成,是惠州乃至周边地区掌握该项技术为数不多的医院之一。
在肖纯副院长指导下,由钟思干主任、廖火城和刘建平医生为核心的大血管团队经过详细的论证,最终决定为该患者实施支架植入的介入治疗。历时70余分钟,以廖火城医生为核心的大血管团队以精湛的技术为患者实施了胸主动脉腔内覆膜支架植入术,主动脉瘤合并夹层同时成功隔绝,且无大动脉内外瘘、截瘫、脑梗塞、消化道出血等并发症发生,患者体内“定时炸弹”被成功拆除!
肖纯博士(右)和廖火城医生(左)
远离动脉瘤,控制血压及戒烟
曾先生虽然很不幸的得了这个病,但究其根由,却也属必然。曾先生有长期吸烟的习惯,烟瘾还不小,每日至少2包,慢慢地,烟草中的尼古丁就把主动脉最里面的那层保护膜给破坏掉了。再仔细追问,曾先生罹患高血压十余年,血压一直飙到180-200mmHg水平,但有没有效控制。

可以想象,一根保护膜受损的主动脉长期受到血流高压的冲击下,血管必然逐渐扩张成动脉瘤,甚至突然撕裂至主动脉夹层。惠州三院心内科廖火城医生再次提醒民众,平时一定要控制好血压,并尽最大努力戒烟。
需要注意的是,对于长期有高血压且血压控制不良的民众,当出现不明原因的咳嗽,声音嘶哑,消化不良时,一定要警惕主动脉瘤。一旦发生剧烈胸痛或背痛,尤其是发病当时合并血压升高,应该警惕动脉夹层,立刻到附近医院做降血压或镇痛的有关处理,并马上到有条件的医院接受进一步的相关诊治与手术治疗。(心血管内科
张敏)
|