|
85岁高龄的黄奶奶,近日在弯腰拾物时突发腰背部及右下肢疼痛,伴有双下肢无力,大小便失禁,去当地医院治疗,被认为病情复杂且病情严重,需转上级医院治疗,奶奶一家人听后惶恐不安……
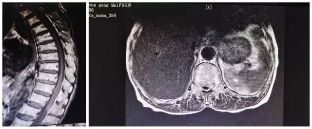
家人曾听说惠州市第三人民医院骨科医术精湛,为求进一步治疗,连夜把奶奶送往三院东院区科医学中心颈肩腰腿痛科,科室医师高度重视,发起骨科医学中心内部多专科联合诊疗机制,经于脊柱外科会诊并在院内相关部门协调下申请了急诊核磁共振等检查,结果显示“胸腰段椎管内占位(性质待查)”。中心主任武明鑫博士查看病人及各项资料后基本判定为“胸腰段的椎管内硬膜外出血导致瘫痪”。
椎管内占位病约占中枢神经系统占位病的15%。椎管为容纳脊髓中枢神经的管道,其内容物为脊髓,也就是中枢神经,与各项感觉、运动及大小便相关,如若脊髓受压发生病变,则会出现感觉减退、消失,运动能力丧失,大小便失禁等瘫痪症状。

病人MRl(核磁共振成像)检查片
由于椎管内占位压迫神经并已导致瘫痪,需尽早手术减压,不然可能会导致永久瘫痪,但因奶奶年纪大,麻醉等方面风险高,家属一度想放弃手术。武明鑫博士立即组织医生们进行了全面的术前讨论,制定周密的手术方案,要求椎管内占位病灶应尽快清除,解除脊髓压迫。
为了消除家属们的担忧,颈肩腰腿痛科许球祥主任及孙进医生为家属详细的解释了手术的必要性及风险性,表示达到预期效果,可以大大改善婆婆的生活质量,为家庭减少一份重担!最终家属们选择相信骨科团队,当天即予施行急诊减压清除血肿手术,手术历时约2小时,术中显示确实和术前判断一致,为“椎管内硬膜外出血”。术后第一天老人家大小便失禁的症状就消失了,双下肢肌力明显恢复,术后一周时下肢肌力也基本恢复正常。
一直以来,为高龄老人行外科手术是挑战医学“禁区”的做法,但是随着人口老龄化及人们对生活质量要求的提高,也相应推动了医疗水平的提高,目前骨科高龄患者所占比重还在持续增加。惠州三院骨科中心使用先进的多专科联动管理理念以及用精湛的医术及高尚的医德医风,让奶奶顺利冲过了“禁区”。目前奶奶病情稳定,精神状态好,笑容可掬,在医护人员的守护下一天天走向健康。相信三院骨科医学中心在武明鑫博士的引领下,将不断进取,再创佳绩,给更多的病友带来新的希望! (脊柱关节外科 李淑琴)
注:惠州市第三人民医院骨科中心关于骨病方面的诊疗理念:
能简单不复杂!
能保守不微创!
能微创不手术!


骨科医学中心病区
骨科康复治疗区
运用疼痛治疗、脊柱关节外科治疗及康复治疗为手段对骨病患者实行一站式的诊疗服务,并根据病情进行由简单到复杂,由保守→介入→微创→开放手术的阶梯往复式治疗手段。真正做到了以病人为中心,治疗手段尽量小型化微创化,避免过度医疗行为的发生。
【专家介绍】
武明鑫,惠州市第三人民医院院长业务助理,骨科医学中心大主任,主任医师,骨科学博士。中山大学医学院、武汉科技大学医学院兼职硕士研究生导师,广东医科大学兼职副教授,惠州市医学会骨外科分会常务委员,惠州市医学会急诊分会常务委员,惠州市急救创伤专家,120指挥中心指导教师。
从事骨科临床工作近20年,在惠州期间率先开了微创可扩展通道系统施行微创椎间盘切除椎间融合内固定术、高位胸椎结核经胸膜外肋横突切除病灶清除植骨内固定术、四肢骨折的微创接骨板内固定手术、胸腰椎骨折闭合复位微创钉棒系统内固定术、早期股骨头缺血性坏死的经股骨颈隧道头下死骨清除打压植骨异体腓骨干支撑术等。
在脊柱外科领域有较高的造诣,成功完成了大量颈椎前后路联合手术治疗多节段复杂性颈椎病及颈脊髓损伤、腰椎前后路手术治疗复杂性腰椎间盘突出症、胸腰椎前后路手术治疗胸腰椎肿瘤及结核、骨水泥强化钉道治疗高龄骨质疏松性脊柱病变;精通脊柱病变的微创治疗,曾成功完成多例运用脊柱微创可扩展通道系统施行微创椎间盘切除椎间融合内固定术治疗治疗腰椎间盘突出症、微创闭合复位钉棒固定治疗胸腰椎骨折、椎体成形术、椎体后凸成形术。对脊柱脊髓损伤的急救意识强,主张第一时间解除脊髓压迫稳定脊柱,为神经功能恢复创造先决条件,成功救治了大量因颈胸髓损伤所致的截瘫患者。
在关节外科、各种疑难骨病和骨肿瘤、小儿先天性畸形、严重复杂的骨关节骨折等的诊疗方面积累了丰富的经验。擅长人工髋关节、膝关节、肘关节置换术,成功完成多例双髋、双膝关节同时置换、骨肿瘤切除个体化人工假体置换及人工髋关节表面置换、各种复杂人工关节置换和人工关节翻修手术。在股骨头坏死、骨关节炎、髋发育不良、类风湿关节炎、强直性脊柱炎关节病变、运动创伤、关节脱位、以及其他各种关节疾病的诊断与治疗实践经验丰富,具有精益求精技术理念,并取得满意疗效。
在临床工作中,坚守患者的医疗安全至高无上、视病人为亲人的行医准则,手术指征及保守治疗指征把握准确,为患者提供最合适的治疗方案。
|