惠心仁术 济民安康!欢迎访问惠州市第三人民医院官网!

预约挂号、导医导诊、健康咨询、疑问解答:0752-2166120



微信订阅号

微信服务号

首 页

人才招聘

患者服务
就医指南
医保须知
健康科普
 健康科普 当前位置:首页 > 患者服务 > 健康科普 > 内容
重症超声显威力!惠州三院EICU再以新技术抢救肾脓毒危重患者!

发布时间:2018-2-11  点击:2120次

2018年122日,惠州市第三人民医院EICU病房又接到了紧急求助电话:中信惠州医院有一名危重患者救治困难,需马上转移至惠州三院进行抢救!

急患者之所急,解同道之所难,接到电话后,EICU陈维生主任立即组织医务人员前往急诊科,做好抢救准备。

当日16时,患者抵达惠州三院急诊科,并表现出严重的气促、呼吸困难及烦躁不安症状。陈维生主任及急诊科李云桥医生立即为其进行紧急检查,发现患者病情危重,生命体征极不平稳,具体表现为:

 

呼吸频率:28/分(正常范围1620/分)

脉搏:55/分(正常范围60100/分)

血压:80/45mmhg(低于90/60mmhg即可认为进入休克状态)

体格检查:双肺听诊满布湿罗音

 

在检查过程中,患者突发呼吸、心跳停止,意识丧失!陈主任立即对患者实施心肺复苏术,2分钟后恢复了患者的自主心律;同时,他组织科室成员有条不紊地开展抢救工作:气管插管、接呼吸机辅助通气、肾上腺素静脉注射……10分钟后,患者顺利转为清醒,虚惊一场!

但陈主任知道,危机仍未解除!患者病情危重,进展迅速,突然发生的心脏呼吸骤停及休克原因难以明确。患者生命体征仍然极不平稳,贸然转运进行检查,风险实在太大了!

 

这时,陈维生主任祭出EICU又一样利器:重症超声!

重症超声是在重症医学理论指导下,运用超声技术,针对重症患者问题导向的多目标整合的动态评估过程,是确定重症治疗,尤其是血流动力学治疗方向及指导精细调整的重要手段。

重症超声技术有别于传统的诊断超声,实施者及影像结果解读者均为重症医学专业医生,能快速发现、解释、评估及解决问题。

该技术具有床旁、实时、可重复的特点,是问题导向化的监测手段,贯穿于救治全过程。因此,重症超声在重症医学领域得到迅速发展。

 

按照心脏骤停和休克的筛查流程,通过实时的床旁超声技术,可见患者双肺均为A线,全心呈弥漫性抑制状态,未见心包积液和张力性气胸征象,下腔静脉不充盈。根据检查结果,基本上可以排除梗阻性、低血容量性休克的可能,心源性休克的可能性也不大。

经过综合考量,考虑为脓毒性休克合并心脏功能抑制。治疗方向明确后,陈主任迅速在超声定位引导下给患者实施深静脉穿刺置管术,给予其肾上腺素持续泵入,并进行液体复苏等治疗。

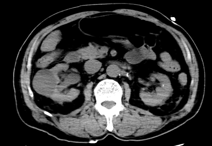
在有效的处理下,患者生命体征迅速稳定,行CT检查显示双肾周感染。

 

 

将患者收住EICU病房后,请来泌尿外科医生对其实施床旁穿刺引流,引出了咖啡样脓液。

 

泌尿外科医生对患者实施穿刺引流

 

从患者肾周引出的咖啡样脓液

 

至此,患者的病因终于水落石出,原来正是脓肾引起的脓毒性休克!诊断明确后,离成功抢救就不远了。为了迅速纠正酸中毒及稳定内环境,EICU医护团队在积极的液体复苏、抗感染治疗基础上,同时给予患者实施枸橼酸抗凝的CRRT。经过一系列及时有效的治疗,患者病情迅速得到稳定,转危为安,走出鬼门关!

重症超声,是惠州三院EICU继连续肾脏替代疗法CRRTContinuous Renal Replacement Therapy)开展后的又一技术,是抢救急危重症患者的利器!

目前,EICU已将重症超声应用在心脏骤停及急性呼吸困难的病因诊断、休克的分型诊断、创伤患者的评估以及有创操作的引导等方面,并制定了相应的诊治流程。惠州三院EICU开展的该项重症超声技术,在惠州地区处于先进水平,相信未来将可为更多患者的健康保驾护航!(EICU 曾景)

 

·上一篇:跳一跳,真的能跳走肾结石吗? ·下一篇:中耳炎怎么办?我院耳鼻喉科开展..
关闭本页】【返回页顶



粤ICP备12058833号 惠州市第三人民医院     版权所有

总院区地址:惠州市惠城区桥东学背街1号

东院区地址:惠州市惠城区惠州大道东平段176号(惠州市交警支队旁)

横沥分院地址:惠州市惠城区120省道横沥段333号

邮编:516002

预约挂号、导医导诊、健康咨询、疑问解答:0752-2166120

双向转诊电话:0752-2359252 / 2359570

院办电话:0752-2359888     宣传科电话:0752-2359810

传真:0752-2255119

医院邮箱/院长邮箱:hzsrmyy@163.com